By Jack D Griffin, DMD
The Heroic Dentistry series celebrates oral health care providers who, like PULPDENT founder Dr. Harold Berk, have made it their mission to save teeth and help patients live in comfort and smile with confidence.
Patients undergoing cancer treatment face a variety of oral health challenges, including xerostomia. Without sufficient saliva to neutralize acids and support the natural remineralization process, patients suffering from dry mouth can be more susceptible to the acids that cause tooth decay.
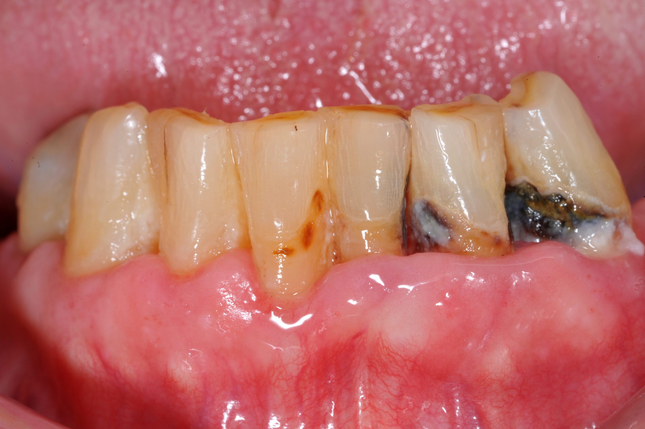
Such was the case of a 78-year-old female cancer survivor who presented at my office with rampant root surface decay (Figure 1). She had undergone radiation and several rounds of chemotherapy over a five year period and had been cancer-free for over a year by the time of our appointment.
Interested in learning more? Sign up for Pulpdent eNews for ACTIVA BioACTIVE case studies, product information and more.
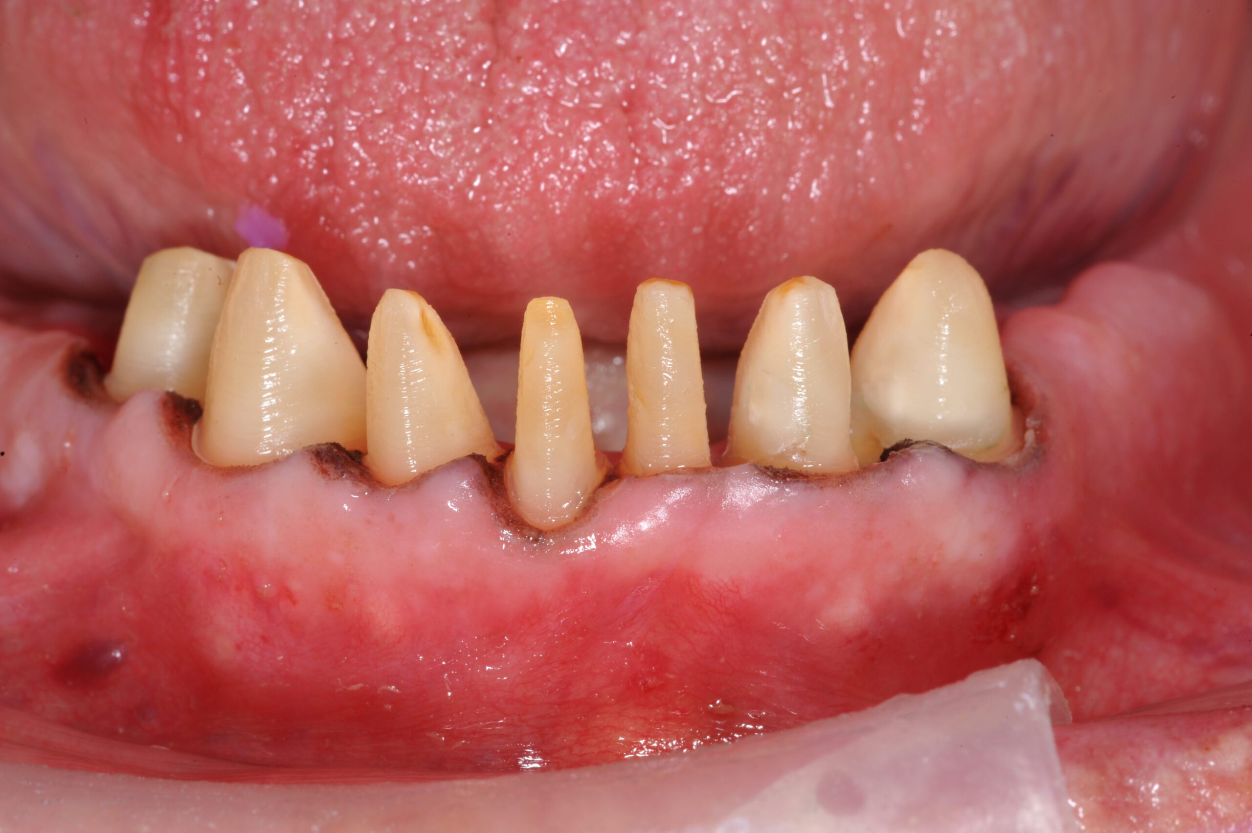
The chances of recurrent decay with traditional bonding and composites are high, so my first step was to thoroughly remove caries with the help of caries indicator (Figure 2). After the decay was removed, I followed a total etch protocol and built up the crown preparations using ACTIVA BioACTIVE-RESTORATIVE (Figure 3). I chose ACTIVA because of its strength, bioactive capabilities, and aesthetics.



The preparations for the individual indirect restorations were subgingival in most places. Choosing the right materials, in this case a hydrophilic and biocompatible cement, would be important for long-term success. ACTIVA BioACTIVE-CEMENT is not only moisture-friendly, and biocompatible, but also strong, aesthetic, self-adhesive, and dual-cure. This bioactive luting material releases and recharges fluoride, phosphate, and calcium, and participates in an ionic exchange that promotes an environment of tissue health.

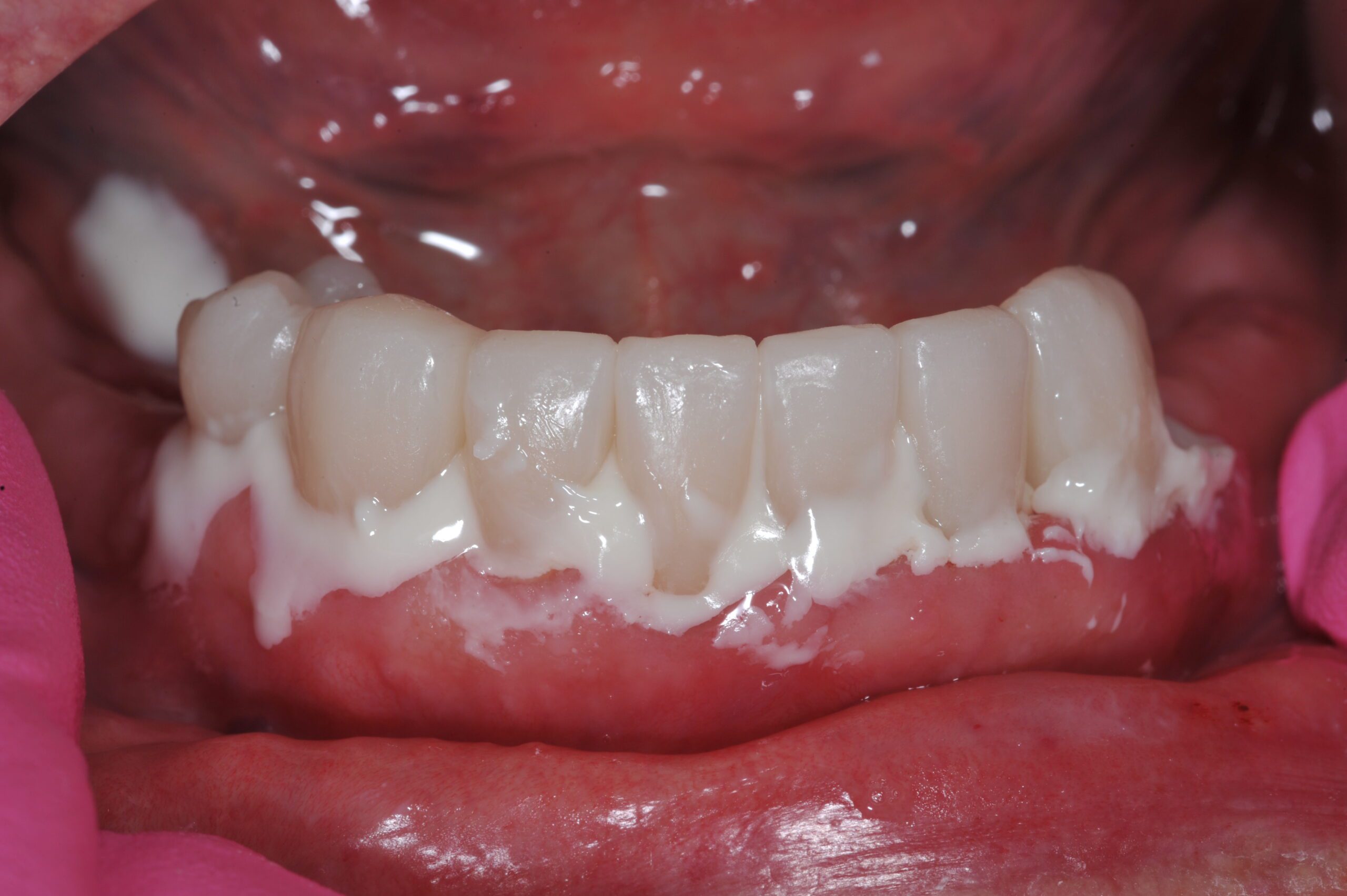
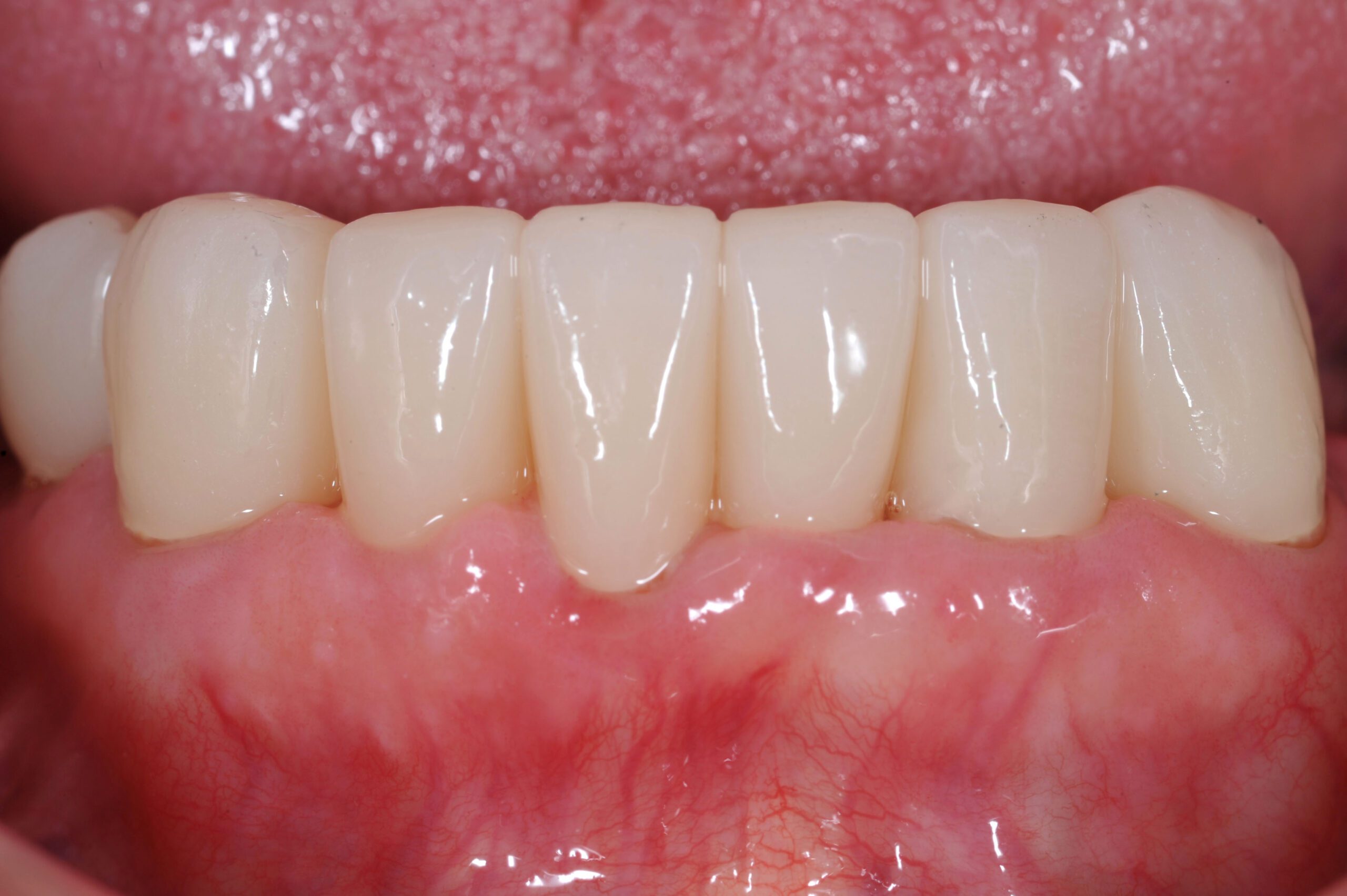
Seven monolithic zirconia restorations were made, tried in, and cemented at the same time with ACTIVA BioACTIVE-CEMENT (Figures 5-7). The ACTIVA BioACTIVE-CEMENT was easy to clean up. Figure 8 shows the final restoration.




New bioactive, self-adhesive cements such as ACTIVA BioACTIVE offer a promising alternative to traditional resin cements. I have found that thorough decay removal followed by core build-up and cementation using bioactive materials results in excellent tissue health and long-term prognosis. With comparable strength, aesthetics, and durability to traditional dual cure resin cements, ACTIVA has the important benefit of ionic release that may aid in tooth repair. All of this while being very easy to clean up. It may be time to rethink traditional, dual cure, self-adhesive cementation for better patient care.

About Dr. Jack D Griffin
Dr. Jack D Griffin is one of the most honored and awarded dentists in the country. Jack is one of a hand-full of dentists awarded by his peers Diplomat status with the American Board of Aesthetic Dentistry (ABAD), accreditation with the American Academy of Cosmetic Dentistry (AACD), and Mastership in the Academy of General Dentistry (AGD). Jack graduated dental school from Southern Illinois University, where he received student dentistry awards and then went on to complete a general dentistry residency at the University of Louisville in Kentucky, with an emphasis in advanced dental care in restorative dentistry, emergency care, implants, oral surgery, and special patient care. Dr. Griffin began his dental practice in Eureka in 1988.

