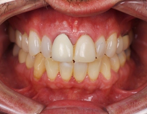
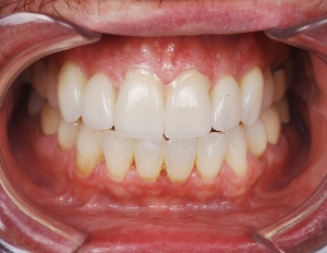
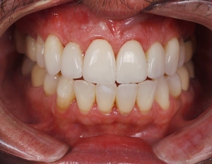
In the following case Dr. Todd Snyder shows how he replaced crowns on teeth #8 and #9 using ACTIVA BioACTIVE-CEMENT.















About Dr. Todd Snyder
Dr. Todd Snyder received his doctorate from the UCLA School of Dentistry and trained at the F.A.C.E. institute. He is an Accredited Fellow of the American Academy of Cosmetic Dentistry, a Member of the American Society for Dental Aesthetics and a member of Catapult Education. Dr. Snyder created and co-direct at UCLA the first two-year graduate program in Aesthetic and Cosmetic Restorative Dentistry. He lectures internationally and has authored numerous articles in publications worldwide. Dr Snyder is a consultant for numerous companies and has his own online training program known as Legion Pride. Dr Snyder also owns two software companies, is a professional race car driver and entrepreneur.

