Heroic Dentistry: Compassionate Smile Rescue with ACTIVA BioACTIVE-RESTORATIVE

By Marc A. Johnson DDS

The Heroic Dentistry series celebrates oral health care providers who, like PULPDENT founder Dr. Harold Berk, have made it their mission to save teeth and help patients live in comfort and smile with confidence. 

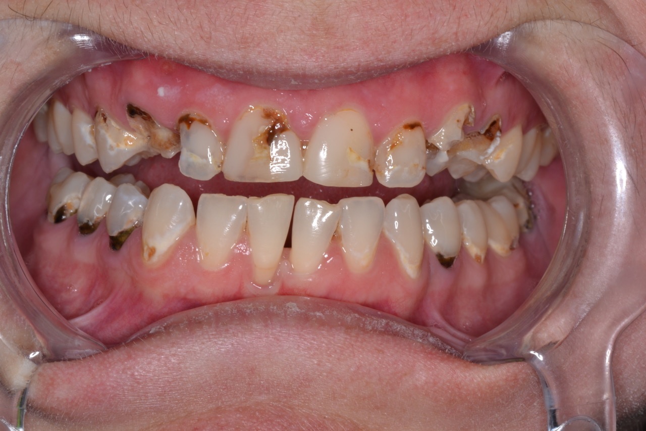
Sally suffered from years of neglect, trauma, and abuse. Her teeth were a disaster, but her life was turning around, and she wanted to save her smile and regain her self-confidence. (Fig. 1)

Figure 1
Figure 1. Pre-op photo

Traditional treatment options would be full mouth reconstruction (FMR) or full mouth extractions and dentures. FMR would require numerous root canals, build-ups, and porcelain restorations, but with limited finances, this was not possible. I knew Sally during better times, and I wanted to do the right thing for her, so I ruled out extractions. I decided on a direct restorative technique using a laboratory fabricated matrix and ACTIVA BioACTIVE-RESTORATIVE. The material has the flow and adaptability required for the technique along with mineral content and bioactivity to help preserve tooth structure.

Sally started soft tissue therapy while I worked with my lab to create an idealized diagnostic wax-up and refractory putty matrix. (Fig. 2) At her pre-op hygiene visit, she presented with healthy tissue, and upon seeing the smile design wax up, she was quite emotional.

Figure 2
Figure 2. Shows idealized wax-up and refractory putty matrix

Using 3.5x loupes, caries detecting solution, and slow speed excavation, I removed massive
amounts of decay throughout the arch. (Fig. 3) There were pulpal exposures in teeth # 6, 10 and 11, and I immediately performed same-day root canals.

Figure 3
Figure 3. Shows teeth after caries
removal

After etching and bonding, I loaded the putty matrix with ACTIVA BioACTIVE-RESTORATIVE A1 shade, syringed some additional material in and around the prepared teeth, and seated the matrix. To mitigate polymerization stresses, I allowed it to self-cure for a couple of minutes before light curing.

After removing the matrix, I easily removed excess with a scaler. Using serrated polishing strips, I separated each of the teeth proximally, and I made occlusal adjustments to achieve perfect contacts and anterior disclusion in all excursions. The case was completed in one long visit at a comfortable pace (Fig. 4).

Figure 4
Figure 4. Same day finished case immediately post-op

From a time/cost/value perspective, this technique offers remarkable efficiencies and cost savings. Smile design cases can be completed with guides fabricated with minimal reduction and delivered with a smile matrix from the lab using ACTIVA BioACTIVE-RESTORATIVE.

 

About Dr. Marc Johnson
Dr. Marc Johnson is a cosmetic and restorative dentist in the destination town of Saratoga
Springs, NY.

About PULPDENT® Corporation 
PULPDENT® Corporation is a family-owned dental research, manufacturing company and leader in bioactive dental materials. ACTIVA BioACTIVE™, developed by PULPDENT, is a bioactive restorative material that behaves much like natural teeth and stimulates the formation of apatite (the building blocks of teeth), chemically bonds to teeth and helps protect against decay. PULPDENT celebrates its 70th anniversary this year with continued commitment to product innovation, clinical education and patient-centered care. To stay updated on bioactivity and learn about the Heroic Dentistry Series, which demonstrates ACTIVA’s unprecedented capabilities, visit the Pulpdent blog.