The Heroic Dentistry series celebrates oral health care providers who, like PULPDENT founder Dr. Harold Berk, have made it their mission to save teeth and help patients live in comfort and smile with confidence.
Yoseph left his native Ethiopia in the summer of 2012 to start a new life in the United States. The teenager settled in Las Vegas, Nevada and enrolled in Clark High School, where he honed his English skills and joined the school cross-country team. Along with the usual academic and extracurricular activities, Clark High offered its students another special service: basic dental care.
Through a partnership with Nevada-based Future Smiles, Clark High students, and those in other low income neighborhoods, can receive oral health screenings and education, dental hygiene prophylaxis, fluoride varnish, sealants, and referrals to area dentists. The program provides services to children living below the federal poverty guidelines, Medicaid/CHIP enrollees, and the uninsured and underinsured. PULPDENT has been a proud sponsor of Future Smiles and has provided pit and fissure sealants and fluoride varnish treatments for thousands of students like Yoseph across Nevada.
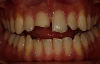
Yoseph soon proved to be a good student and an avid runner on the cross-country team. In late 2015, he fell during a cross-country practice and fractured teeth #8, #9 and #10. “I was so devastated when I looked at my face,” wrote Yoseph in a letter to Future Smiles. “I am usually a smiley person but after the accident I lost my smile.”

Yoseph’s broken teeth were not merely an aesthetic concern; it also hindered his speech. He did not have dental insurance, and his school contacted Future Smiles for assistance.
Future Smiles referred Yoseph to Dr. David Fife, a local endodontist who provides discounted services for their program. Root canals were performed, although the endodontist had some concerns about tooth #9, which he shared in a note to Dr. Byron Blasco, a nearby aesthetic and restorative dentist who would contribute his time to complete the restorative work:
“#9 has a horizontal root fracture and may not make it – it is mobile and hurting. I used an MTA-based sealer, so I am hopeful that it helps calm the bone down in the fracture area – we’ll see. #8 is fine and needs a crown.”

Fortunately, #9 appeared to react favorably to the endodontic treatment, and Dr. Blasco completed the case without further complications. Tooth #8 was built up with composite and received a full coverage E-max crown (IPS Ivoclar Vivadent). Due to the horizontal root fracture in tooth #9 and the poor long-term prognosis for retaining this tooth, #9 was restored with a direct bonded composite restoration, and Yoseph was informed that he would most likely require an implant at a later time.

Thanks to Future Smiles, the local endodontist and the aesthetic and restorative dentist, Yoseph got his smile back, finished his senior year with excellent grades, and is now a freshman at the University of Nevada at Reno. He plans to major in mechanical engineering and says, “Hopefully, I will graduate and contribute my part to society.”
About PULPDENT® Corporation
PULPDENT® Corporation is a family-owned dental research, manufacturing company and leader in bioactive dental materials. ACTIVA BioACTIVE™, developed by PULPDENT, is a bioactive restorative material that behaves much like natural teeth and stimulates the formation of apatite (the building blocks of teeth), chemically bonds to teeth and helps protect against decay. PULPDENT celebrates its 70th anniversary this year with continued commitment to product innovation, clinical education and patient-centered care.

