
More Efficient Restorations and Better Patient Outcomes
ACTIVA™ BioACTIVE-RESTORATIVE™ is a high viscosity flowable that supports the natural remineralization process, defending against microleakage and secondary caries.* ACTIVA BioACTIVE-RESTORATIVE excels in the everyday treatment of Class I, Class II, and Class V caries. It is an outstanding bulk-fill and core build-up material. Backed by extensive research and clinical use, ACTIVA BioACTIVE-RESTORATIVE raises the standard of care of restorative dentistry.
*ACTIVA BioACTIVE releases beneficial ions of fluoride, calcium, and phosphate while physically sealing the material and tooth interface margin through apatite crystal formation, subsequently protecting against microleakage, the leading cause of secondary caries and recurrent decay.
Clinical Documents
Resources
Science and Literature
Patented technologies benefit you and your patients

STRESS RESISTANCE AND FORCE DISSIPATION
MODULUS™ patented elastomeric monomer technology is integrated to the core resin chemistry. MODULUS imparts fracture resistance through force dissipation and resists polymerization shrinkage stress, which imparts greater physical stability and produces exceptional margins.

BIOACTIVE DEFENSE AGAINST SECONDARY CARIES
ION-X™ ionic resin matrix helps power margin-sealing apatite crystal formation. It facilitates sustained calcium, phosphate, and fluoride release & recharge. ION-X continuously works to neutralize pH and combat acid attacks.

MOISTURE TOLERANCE FOR CHALLENGING CASES
WETBOND™ moisture-tolerant acidic functional monomer allows for treatment in situations where moisture control is difficult to achieve.
ADDITIONAL PROPERTIES
Moisture Tolerant – Esthetic – Precise Placement – Clinically Proven – Minimal Risk of Post-op Sensitivity – BPA-free
Versatile, Everyday Caries Management
Class II Bulk Fill
Efficient bulk-fill placement in a moist field in a pediatric patient using ACTIVA BioACTIVE-RESTORATIVE

Prepared teeth

Teeth restored with ACTIVA (pediatric shade)
Images courtesy Dr. Mark Cannon
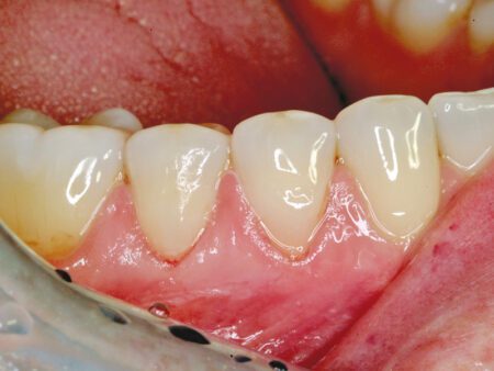
Moisture Friendly – Ideal for Class V
Repair of sensitive cervical lesions

Cervical lesions

ACTIVA provides bioactivity and patient comfort
Images courtesy Dr. C. H. Pameijer
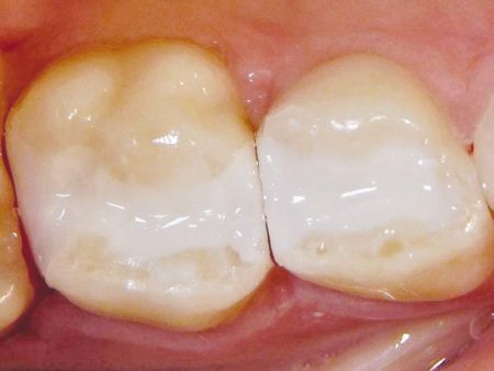
Core Build-up

ACTIVA is used to build the core on a badly broken-down molar.

The tooth is ready to receive a crown.
Images courtesy Dr. Robert Lowe
Dr. DiTolla and Dr. Bergeron Discuss Minimally Invasive, Bioactive Dentistry for Everyday Practices
In this video Brittany Bergeron, DDS, will critically review a variety of real-world, minimally invasive case studies using bioactive restoratives and will discuss current remineralization science, moisture friendly dental products, handling properties of “active” materials, and practical, everyday uses for bioactive cements, composites, and base/liners.
Dr. Barquero Places 9 ACTIVA Restorations in 1 Appointment
Dr. Delfín Barquero shows how he used ACTIVA BioACTIVE-RESTORATIVE to complete nine restorations in one single appointment.
MECHANICAL PROPERTIES
Independent testing shows compressive strength, wear, and durability are comparable to leading composites. Fracture resistance is superior to traditional composites, resin-modified glass ionomers (RMGIs), and glass ionomers (GIs).



*Not trademarks of Pulpdent Corporation
CALCIUM, FLUORIDE & PHOSPHATE RELEASE/RECHARGE
The following graphs show the release and recharge of calcium, phosphate, and fluoride from four restorative materials. ACTIVA BioACTIVE-RESTORATIVE (as well as the rest of the ACTIVA BioACTIVE family) display a continuous release and recharge of these essential minerals, which are naturally occurring in the saliva and are supplemented by dietary sources and release from ACTIVA. This diffusion of ions is only available in materials that can transport water. Traditional hydrophobic materials are passive and do not have the capacity for this dynamic behavior.

Source: Pulpdent testing
Order Now
ACTIVA™ BioACTIVE-RESTORATIVE™
Additional information
| Package Qty. | 1, 2 |
|---|---|
| Shade | A1, A2, A3, A3.5 |
| Applicator Tip Qty. | 20, 40 |
| Included Tip Style | Bendable 20 Guage Metal Cannula |
Compatible with:
-
- Applicator Tips and Dispensers
Automix Intraoral Tips (IOT)
SKU: AD*T- View Product This product has multiple variants. The options may be chosen on the product page
-
- Applicator Tips and Dispensers
Automix Straight Tips
SKU: AS*- View Product This product has multiple variants. The options may be chosen on the product page
-
- Applicator Tips and Dispensers
Automix Narrow Intraoral Tips (IOR)
SKU: AD*R- View Product This product has multiple variants. The options may be chosen on the product page
-
- Applicator Tips and Dispensers
Automix Syringe Tips with Bendable 20 Gauge Metal Cannula
SKU: A*N1- View Product This product has multiple variants. The options may be chosen on the product page











